The flu, this year, is Bad. I have had my first patient die from it.
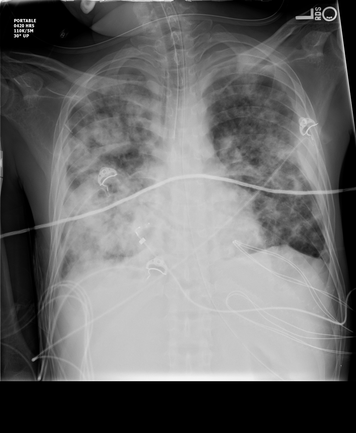
It’s not just suffocation from respiratory failure, as the lungs fill with fluid such as the chest X ray above. It’s the multiple organ failure that gets you too. I added the 2nd, 3rd, and 4th pressor. Nothing helped. I watched as the ventilator tubing filled with blood pouring from her lungs. Tried steroids. Tried statins. Tried anti-parasiticals. Nothing worked.
The night shift attending struggled to keep up the blood pressure and oxygen levels. I headed straight for that room as soon as I arrived in the wee hours of the ICU morning. I remember clearly the art line reading of 15/7, the heart rate of 12.
There is a certain look that comes over people when you tell them their loved one is about to die, and no power on this Earth can save them. You can watch the quick play of the initial shock, then the denial; grief, if it comes, is sharp and overwhelming.
The patient’s spouse of nearly 50 years took it about as well as can be expected. We watched him say his tearful goodbye; the nurses that struggled and fought during the night wept from ragged, bloodshot eyes as well. Another life lost. Another bitter ending.
You DO NOT want a piece of this. Get your @#$%ing flu shot.
**The above CXR is not my patient, due to HIPPA laws. That patient’s CXR was worse. And yes, the endotracheal tube is too far down and needs to be retracted.

Considering the flu shot this year is specifically not effective against what’s actually going around, why would you say that?
LikeLike
The flu shot is never fully effective, as it is based on a guess by the flu manufacturers. Flu has a typical pattern of spread, and for our purposes comes from Europe to the US. We look at the types of flu prevalent in Europe and design a vaccine against those specific types.
But flu is a crazy little virus, never sits still. By that I mean, it mutates at a very rapid rate; this is why we have to change the vaccine year-by-year anyway. This year, between Europe and the US, one of the 4 or so strains mutated to something not covered against the virus.
So that means the flu shot this year only “covers” about 60% of the flu virus you could potentially get, instead of the typical 80 or 90%. Even with poor coverage, just having the vaccine revs up your immune system against viruses in general, and you obtain some protection against it.
All 5 patients who have died so far in my hospital skipped the flu vaccine this year. Yes, we have had the typical old folks die, and that is not unexpected. But we have also had young, healthy, competitive 10K runners die.
Yes, it can be a hassle. Yes, it gives me 2 days of “feeling lousy” too. Yes, it costs $25, or nothing, depending on your insurance. Both are much, much cheaper than the (admittedly rare) chance you will end up dead, or nearly dead, in my ICU.
LikeLike
Great idea for a blog.
So we have a hobby farm with lots of animals, we are out in all weather types, two high school kids, wife works in a hospital (non-med), I have both a full time job, and a part-time retail job. Our immune systems are on high alert at all times in this environment. If the Flu shot is not effective against this years strain, and mearly elevates ones immune system, does it elevate it differently then our normal germ dense environment? I’m asking as I haven’t had a flue shot in years, but the wife gets one every year. Yet neither of us has had the flu in longer than I can remember. We get the common colds, but no incidents of flu. Same goes for the kids.
Thanks.
LikeLike
It is not as effective. I apologize if I gave the impression it is ineffective. Still covers most of the viruses you might see this year.
Certainly there are a pack of viruses that you can get from animals, and it certainly could ramp up your immune system. I don’t know of any specific data looking at farmers/ranchers, but I wouldn’t be surprised to see ya’ll healthier than the usual. Some of the flu viruses can cross between animals and humans (Avian flu, swine flu) but that is not super common.
Your wife likely has to get it as a requirement for work, as I do.
I post because I see the bad ones. Never fun to watch someone drown in their own blood.
A technical point: the immune system focuses on “epitopes”, which are portions of proteins, viruses, etc that it recognizes and can attach to. The body learns (in an incredibly complex mechanism, beyond the scope of this post) which are good, and which are bad, epitopes. Typically the body is exquisitely precise as to what it selects as bad; it can even distinguish “left handed” from “right handed” molecules (see http://en.wikipedia.org/wiki/Enantiomer). When you get any disease, it identifies the bad stuff, makes antibodies to target the disease, and starts killing it. There is a time delay, however, which can prove disastrous, depending on the bug.
Vaccines provide the target, without the disease. Typically, a vaccine is a whole, killed virus. It provides dozens if not hundreds of epitopes for the immune system to target. Some of these epitopes are quite strong, and invoke a strong response from the immune system, some are weak. The flu virus has many weak epitopes, and a few strong ones. Being a clever little bugger, it mutates the strong epitopes on a frequent basis. This is why we need to re-engineer the vaccine every year.
Yet even recognition of the weak epitopes is better than nothing. It allows your body to prepare some defense, even if weak. And that is a leg up on the virus.
Remember that the flu kills about 30,000 people in the US every year, on average. A bad year is about 45,000 people. That’s about the same number of people killed by car accidents in the US every year, yet far fewer folks complain about seat belts than the flu vaccine.
LikeLike
Pingback: Quick Post: flu vaccine | Hogwarts School of Grid-Down Medicine and Wizardry·
Please do not do as I did a couple years ago,and lay around at home thinking you’ll be okay,it’s just the flu,and/or a winter cough and cold,and you’ll get through it if you rest and chug some Vicks or Robitussin cough medicine every 4 hours.
By the time I decided that I wasn’t getting any better,because I couldn’t breathe-my entire right lung was filled with fluid.
After a little over a 9 hour long lung surgery,in which over 5 liters of fluid was removed from my lung,and the surgeon told my wife and daughters that I probably wouldn’t make it ’till morning- 5 more weeks in the hospital after I got out of the ICU-I came home with a chest tube,which remained in for another 7 weeks.
Due to that little misadventure-I lost 20% of the capacity in my right lung.
LikeLike
One of the issues with flu is we have to find some kind of middle ground between a hugely strong immediate response immune system and the cytokine storms that such an immune system CAN generate. This is an issue more for the folks who are herbal users using the several herbals that energize the immune system.
Most of my herbalist friends are fairly strongly sold on Black Elderberry teas/tinctures/syrups etc. for FLU.
In the first place it does not much to one’s immune system since its mechanism of action is to damage the viral replication sequence. Clearly not a lot of help if you already have a huge viral load (why some of us start with it early/prophylactically) but it can be effective if the initial load is manageable.
This also APPARENTLY (mechanism unknown) helps to damp down the immune reaction cytokine storm.
It APPEARS from study of the young healthy dead in 1917-1919 that they died from cytokine storm responses, effectively drowning in their own immune reaction.
So. Should you get a flu shot?
ABSOLUTELY!!! (usual weasel words, if you aren’t allergic to the components, closed course, don’t try this at home, your mileage may vary)
bmp
LikeLike
Well, thanks for that. Learned me somfin’ new, I did.
Google brings up this article, I pubmed’d the referenced studies; seems legitimate.
Very, very interesting.
As a side note, the so-called “cytokine storm” is not limited to influenza; all patients with sepsis, septic shock, etc have that. You can get it other ways as well–hemorrhagic shock will induce it; you can certainly get cardiogenic shock from cytokines as well.
See, for example, IRIS, where the immune system actually causes a previously “well” patient to be sick once placed on HIV meds, and Takotsubo’s cardiomyopathy, where an inflammatory cascade causes heart failure. The last is a bit chicken vs egg, but there you are.
LikeLike